“以为做了近视手术就万事大吉了,没想到眼底还会出问题!”51岁的高度近视患者卢阿姨(化姓)万万没想到,早在20年前就接受了准分子激光近视矫正手术的她,沉浸在重获清晰视力的喜悦中,却忽略了定期的眼底检查,最终引发黄斑裂孔性视网膜脱离,视力骤降近乎失明。
所幸在广州爱尔眼科医院院长俞晓艺教授的精准施治下,通过玻璃体切割联合黄斑兜带的复杂疑难手术,不仅成功复位了视网膜、封闭了裂孔,其右眼眼轴更从30.22mm回退至29.45mm,逐步化解失明危机。

▲俞晓艺教授为患者看诊
近视矫正≠一劳永逸!眼底警钟要敲响
卢阿姨有着40余年的高度近视史,但自从20年前接受近视矫正手术后,视力得到了明显的提高,便放松了对眼部健康的关注,却不知道病理性近视的进程从未停止。
近两年她右眼反复出现视力下降、视物变形的症状,还伴随中央暗影和黑影飘动,却未及时就医检查。直至两个月前,其右眼症状突然加重,中央暗影大幅度扩大,日常看手机、看电视都变得极为困难,这才让她意识到问题的严重性,急忙到广州爱尔眼科医院眼底病科就诊。
广州爱尔眼科医院院长俞晓艺教授为卢阿姨做了全面的眼部检查,检查结果显示其右眼视力仅剩0.08,眼轴长达30.22mm,远超正常成年人22-24mm的范围,确诊为右眼黄斑裂孔性视网膜脱离,同时合并视网膜劈裂、黄斑前膜、周边视网膜变性等多种复杂眼底病变。
“高度近视会不断拉长眼轴,就像吹气球一样把眼球壁越撑越薄,最终撕裂黄斑、导致视网膜脱离,若再拖延,感光细胞会逐渐坏死,将面临不可逆的失明。”俞晓艺教授向卢阿姨解释病情的严重性。

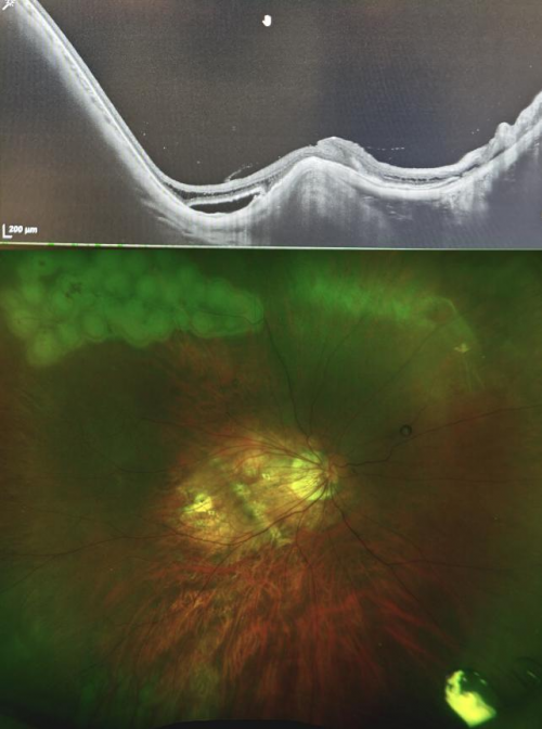
▲卢阿姨右眼图像(术前)
眼轴回退!联合手术破解眼底危局
面对卢阿姨的复杂病情,单一手术无法解决问题,俞晓艺教授为其制定了“后入路玻璃体切割术+黄斑兜带术”的个性化手术方案:先通过玻璃体切割术切除混浊玻璃体,剥离黄斑前膜,复位脱离的视网膜,并填充硅油,解除当下的视力危机;同时实施黄斑兜带术,通过将生物材料植入眼球后部,使其与眼球后壁紧密粘连,达到加固明显变薄的巩膜、甚至轻度缩短眼轴的目的,从而预防眼球壁过薄导致的眼球破裂,降低眼底病变的复发风险。
据俞晓艺教授介绍,本次手术中所使用的巩膜材料,均来自爱尔眼库的同种异体巩膜,这类材料兼具高生物活性与良好的组织相容性,能有效降低术后排斥反应,为手术顺利进行与术后恢复筑牢基础。
经过严格的术前评估和周密的手术准备,由俞晓艺教授主刀的手术顺利完成,不仅成功复位了视网膜、封闭黄斑裂孔,也实现了对黄斑区的有效兜护,为卢阿姨脆弱的眼底撑起了“防护伞”。术后一周复查时,好消息传来:卢阿姨右眼眼轴回退至29.45mm,视网膜平伏,裂孔封闭良好,视力也从0.08提升到了0.25,治疗效果十分理想。

▲卢阿姨右眼图像(术后)
眼科专家提醒:高度近视尤需警惕
面对卢阿姨的特殊例子,俞晓艺教授特别提醒广大市民:高度近视人群是眼底病变的高危群体,眼轴过长会牵拉、改变眼底结构,增加视网膜脱离、劈裂、黄斑病变等风险。
不管有没有接受过近视矫正手术,高度近视人群不仅要避免剧烈运动和眼部外伤,更要每年定期做眼底检查,一旦出现视力下降、视物变形、黑影飘动等症状,需立即前往专业眼科医院就就诊;而对于已出现黄斑裂孔、视网膜脱离的患者,及时接受针对性手术治疗,是保住视力、避免失明的关键!