随着人们对健康越来越重视,
越来越多的人,
每年都会给自己安排一到两次的体检。
不少人看到检查报告单上看到“肝囊肿”,
都会后背一凉,
心中不禁疑问~
通常来讲,单纯性肝囊肿是肝脏的良性囊性病变,囊内为无色液体,多为先天性,不恶变,临床上要与肝囊腺瘤鉴别。单纯性肝囊肿通常无明显症状,很多患者在体检中发现。大多数单纯性肝囊肿患者不需要治疗,但是如果囊肿增长迅速,压迫了邻近的脏器,出现饱胀、恶心、右上腹隐痛不适等症状,甚至出现化脓性感染,囊肿短期内迅速增大(囊内出血),则需要引起高度重视,应及时进行治疗,否则有可能对身体产生危害。

如果被确诊为肝囊肿,
千万别慌!
下面的案例,
会给你提供一定借鉴!~
近日,日照市中医医院通过多学科协作,为一名65岁右肝巨大囊肿的患者行CT引导下穿刺置管引流术及CT引导下肝囊肿穿刺硬化术,术后患者恢复良好出院。
患者因腹胀、腹部不适就诊脾胃病二科/肝病科,系统检查提示右肝巨大囊肿,几乎占据整个右肝的二分之一,继续发展将严重压迫胃肠道及周边脏器,出现腹痛、腹胀,肝功能不全等并发症。

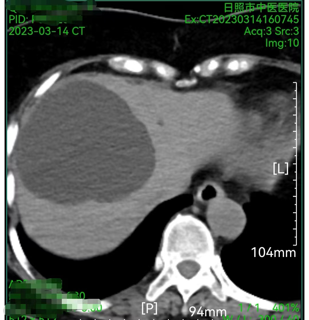
图1.穿此前腹部CT提示右肝巨大囊肿图1大囊肿

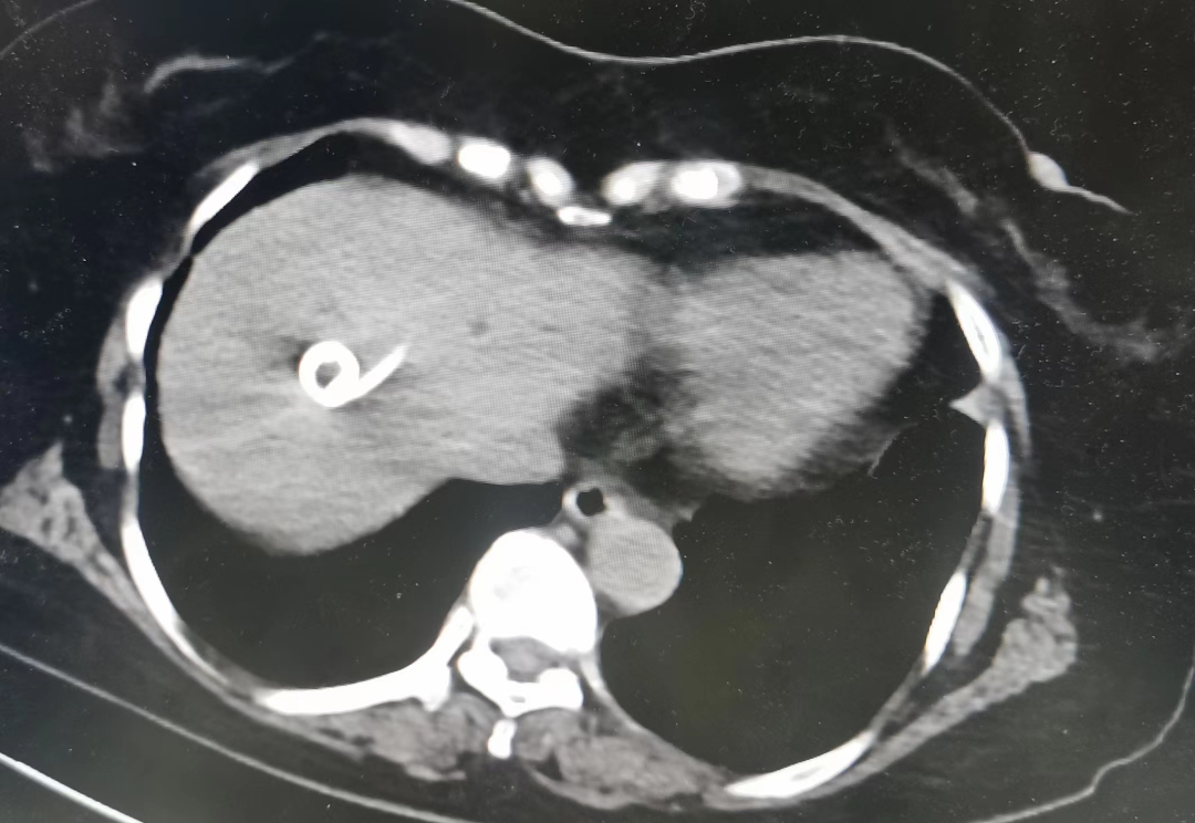
图2.CT引导手术操作
结合患者病情进展情况,考虑肝脏大囊肿并囊内出血可能,经科内专家讨论后,决定分步进行:先由内镜中心行无痛胃肠镜检查,消除门脉高压、食管胃底静脉曲张及胃肠息肉等病变。经检查,发现患者存在慢性萎缩性胃炎、幽门螺旋杆菌感染。予以内科治疗。第二步,联合介入室在CT引导下经皮经肝肝囊肿穿着置管引流术及无水酒精硬化术。术后症状明显好转,穿刺后共引流出500ml液体。留置引流管引流,待引流液明显减少、复查CT提示囊肿囊壁塌陷后再次行无水酒精注射硬化剂硬化治疗。
图3.出院前两天复查。
在医护人员的精心治疗及照护下,患者症状完全缓解,复查囊肿囊壁已完全塌陷,饮食情况恢复正常,达到出院指征后带管出院,拟2周后复查无特殊予拔出穿刺引流管。

因此,
建议肝囊肿患者应在医生指导下,
每半年或每年复查一次,
以及时发现病情变化,
便于医生调整治疗方案。
对于健康的朋友,
一定要警惕身边亲朋,
如有腹胀不适感,
或者引起呼吸困难等症状,
一定要第一时间送院治疗!
Tips
咨询电话:0633-8290758
咨询地点:1号楼十层西区脾胃病二科/肝病科